Early Orthodontic Treatment
Early orthodontic care can play an important role in how your child’s smile, bite, and jaw develop. At Dr. Doug Orthodontics, we monitor growth, guide erupting teeth, and address developing issues early to help prevent more complex problems later. When treatment is recommended, our focus is on timing care correctly to support healthy development and long-term stability.
At What Age Should a Child First Visit the Orthodontist?
The American Association of Orthodontists recommends that children have their first orthodontic evaluation by age 7.
By this age, most children have a mix of baby teeth and permanent teeth, which allows Dr. Doug to identify developing bite or alignment concerns, determine whether treatment is needed now or best delayed, and plan the ideal timing for future orthodontic care. Many family dentists are trained to recognize early orthodontic issues and may recommend an evaluation even before age 7 if something unusual is noticed.
Why Are Children Evaluated for Orthodontics So Early?
Early orthodontic evaluations are proactive rather than aggressive. Identifying concerns early allows treatment to take advantage of natural growth and may prevent small problems from becoming more serious.
When early treatment is recommended, it can help guide erupting teeth into healthier positions, preserve space for permanent teeth, and reduce the risk of injury to protruding front teeth. Early care may also gently guide jaw growth, regulate the width of the dental arches, create space for incoming permanent teeth, reduce the risk of impaction, address thumb-sucking habits, and improve bite-related speech or swallowing concerns.
In many cases, addressing these issues early makes later orthodontic treatment simpler and more efficient.
Does Early Orthodontic Treatment Benefit Every Child?
Not every child needs Phase I orthodontic treatment. Some orthodontic concerns are best treated during the teen years, once all permanent teeth have erupted. Certain jaw-related issues may also benefit from additional growth before treatment begins.
Dr. Doug develops a personalized plan for each child. If treatment is not recommended right away, your child may be placed into our Orthodontic Supervisory Program so growth and tooth eruption can be monitored over time.
Most Common Early Orthodontic Treatments
Early orthodontic treatment focuses on guiding growth and creating space for permanent teeth while the jaws are still developing.
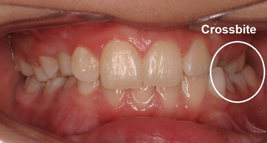
Palate or Maxillary Expansion
When the upper jaw is too narrow, it can cause a crossbite where the lower teeth sit outside the upper teeth. A palate expander gently widens the upper jaw in younger children to improve jaw alignment and create space for incoming teeth. Expansion typically occurs over a short period, followed by a stabilization phase to maintain results. You can learn more about our palatal expander treatment here.
Space Maintenance
If a child loses baby teeth too early or has significant crowding, a space maintainer may be recommended to prevent surrounding teeth from shifting. Maintaining proper space helps permanent teeth erupt into healthier positions and may reduce future crowding.

Why Early Prevention Matters
Orthodontic problems such as crowding, spacing, jaw growth issues, and bite misalignment can develop due to genetics, habits, injury, or early tooth loss. Because jaw growth is still active in childhood, early orthodontic care can guide development, reduce the need for extractions, and make future treatment simpler and more predictable.
What Is the Orthodontic Supervisory Program?
The Orthodontic Supervisory Program is designed for children who are not yet ready for braces but still require periodic monitoring. This program allows us to track how permanent teeth are erupting, identify unfavorable eruption patterns early, recommend the removal of baby teeth when needed to improve spacing, and help reduce the overall time needed in braces later.
Children in this program are typically seen every six to eight months, and we coordinate recommendations with your family dentist. There is no charge for this monitoring program.
If My Child Has Early Treatment, Will They Still Need Braces as a Teen?
In many cases, yes. Early treatment focuses on correcting significant growth or spacing concerns, but does not always eliminate the need for braces later. Phase I treatment addresses developmental issues early, while Phase II treatment in the teen years refines alignment once all permanent teeth are present.
The benefit is that Phase II treatment is often shorter and more routine because early concerns were addressed at the right time. In some cases, no additional treatment is needed, but this depends on how the teeth and jaws continue to develop.
Do We Still Need to See Our Family Dentist During Orthodontic Treatment?
Yes. Regular dental visits are essential during orthodontic care. We recommend continuing to see your family dentist every six months for cleanings and routine checkups, especially while orthodontic appliances are in place. If additional dental care is needed, we are happy to coordinate with your dentist to ensure your child receives complete, well-rounded care.
Frequently Asked Questions
Have more questions about early orthodontic care? These common FAQs are designed to help parents feel informed, reassured, and confident about their child’s treatment plan.
How Do I Know If My Child Needs Early Orthodontic Treatment?
Signs may include bite problems, crowding, early or late loss of baby teeth, jaw shifting, mouth breathing, or protruding front teeth. Dr. Doug evaluates growth and development to determine whether early treatment is recommended or if monitoring is the best approach.
Are Early Orthodontic Visits Painful for Children?
Early orthodontic visits are typically gentle and comfortable. Exams and monitoring appointments are well tolerated, and any recommended appliances are designed with your child’s comfort in mind.
How Long Does Phase I (Early) Treatment Usually Last?
Phase I treatment typically lasts less than one year, often around eight to ten months. After treatment, a retainer is usually worn at night while remaining permanent teeth continue to erupt.
Can My Child Still Play Sports With Early Orthodontic Appliances?
Yes. Children can continue participating in sports and activities during early treatment. A protective mouthguard is recommended for contact sports to help protect teeth and appliances.
Will Early Treatment Make Future Orthodontic Visits Easier?
In many cases, yes. Early treatment can reduce the severity of orthodontic issues, making future treatment shorter, simpler, and more predictable once all permanent teeth are present.
